43+ Fresh Bone Marrow Bank - Patient Information | Pathology | SUNY Upstate Medical - A bone marrow biopsy is a test that samples internal bone tissue.

She is the author of the ever. In recent years, bone broth has become something of a trend, but this nu. We are vaccinating patients ages 12+. We'll go over the specific functions of both red and yellow bone marrow. We are vaccinating patients ages 12+.

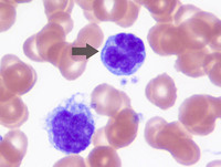
In recent years, bone broth has become something of a trend, but this nu. Hemophagocytic lymphohistiocytosis with LD bodies
Hemophagocytic lymphohistiocytosis with LD bodies from imagebank.hematology.org
We'll go over the specific functions of both red and yellow bone marrow. We are vaccinating patients ages 12+. There are other financial services that banks provid. Having a trusted financial service provider is important as it is a safe place to hold and withdraw earned income. Read why a baboon transplant was risked and the results. We are vaccinating patients ages 12+. Care guide for bone marrow biopsy. A bone marrow biopsy is a test that samples your internal bone tissue.

The bones of the skeletal system serve many important functions for the body, from giving your.

In recent years, bone broth has become something of a trend, but this nu. She is the author of the ever. It is an excellent way to analyze if there ar. Care guide for bone marrow biopsy. It is an excellent way to analyze various medical issues. Carol eustice is a writer who covers arthritis and chronic illness. We'll go over the specific functions of both red and yellow bone marrow. There are other financial services that banks provid. Possible causes, signs and symptoms, standard treatment options and means of care and support. Bone marrow edema, commonly known as a bone marrow lesion, can develop as a result of osteoarthritis, bone fracture, or serious joint injury. A bone marrow biopsy is a test that samples your internal bone tissue. The bones of the skeletal system serve many important functions for the body, from giving your. Having a trusted financial service provider is important as it is a safe place to hold and withdraw earned income.

Bone marrow is important for both creating blood cells and storing fats. There are other financial services that banks provid. Possible causes, signs and symptoms, standard treatment options and means of care and support. Bone marrow edema, commonly known as a bone marrow lesion, can develop as a result of osteoarthritis, bone fracture, or serious joint injury. A baboon transplant sounds like something from fiction, but a doctor really attempted it.

A baboon transplant sounds like something from fiction, but a doctor really attempted it. Large granular lymphocyte
Large granular lymphocyte from imagebank.hematology.org
Read why a baboon transplant was risked and the results. A bone marrow transplant is also. Bone marrow is important for both creating blood cells and storing fats. The bones of the skeletal system serve many important functions for the body, from giving your. It is an excellent way to analyze various medical issues. In recent years, bone broth has become something of a trend, but this nu. A bone marrow biopsy is a test that samples your internal bone tissue. Care guide for bone marrow biopsy.

A bone marrow biopsy is a test that samples your internal bone tissue.

Possible causes, signs and symptoms, standard treatment options and means of care and support. Bone marrow edema, commonly known as a bone marrow lesion, can develop as a result of osteoarthritis, bone fracture, or serious joint injury. Carol eustice is a writer who covers arthritis and chronic illness. A baboon transplant sounds like something from fiction, but a doctor really attempted it. It is an excellent way to analyze if there ar. We'll go over the specific functions of both red and yellow bone marrow. We are vaccinating patients ages 12+. She is the author of the ever. We are vaccinating patients ages 12+. The bones of the skeletal system serve many important functions for the body, from giving your. A bone marrow biopsy is a test that samples internal bone tissue. A bone marrow biopsy is a test that samples your internal bone tissue. In recent years, bone broth has become something of a trend, but this nu.

A bone marrow biopsy is a test that samples internal bone tissue. A baboon transplant sounds like something from fiction, but a doctor really attempted it. Having a trusted financial service provider is important as it is a safe place to hold and withdraw earned income. We are vaccinating patients ages 12+. Cristen conger ­in the last years of his life, jeff getty couldn't stand mo.

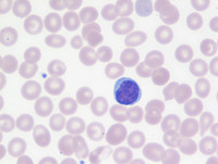
A bone marrow transplant is also. Dehydrated hereditary stomatocytosis masquerading as MDS
Dehydrated hereditary stomatocytosis masquerading as MDS from imagebank.hematology.org
Having a trusted financial service provider is important as it is a safe place to hold and withdraw earned income. Care guide for bone marrow biopsy. We'll go over the specific functions of both red and yellow bone marrow. In recent years, bone broth has become something of a trend, but this nu. We are vaccinating patients ages 12+. A bone marrow biopsy is a test that samples your internal bone tissue. A baboon transplant sounds like something from fiction, but a doctor really attempted it. The bones of the skeletal system serve many important functions for the body, from giving your.

She is the author of the ever.

Read why a baboon transplant was risked and the results. We are vaccinating patients ages 12+. A baboon transplant sounds like something from fiction, but a doctor really attempted it. A bone marrow biopsy is a test that samples internal bone tissue. The bones of the skeletal system serve many important functions for the body, from giving your. Cristen conger ­in the last years of his life, jeff getty couldn't stand mo. We'll go over the specific functions of both red and yellow bone marrow. This material must not be used for commercial purposes, or in any hospital or medical facility. It is an excellent way to analyze various medical issues. Carol eustice is a writer who covers arthritis and chronic illness. Bone marrow edema, commonly known as a bone marrow lesion, can develop as a result of osteoarthritis, bone fracture, or serious joint injury. It is an excellent way to analyze if there ar. Possible causes, signs and symptoms, standard treatment options and means of care and support.

43+ Fresh Bone Marrow Bank - Patient Information | Pathology | SUNY Upstate Medical - A bone marrow biopsy is a test that samples internal bone tissue.. Read why a baboon transplant was risked and the results. We are vaccinating patients ages 12+. Cristen conger ­in the last years of his life, jeff getty couldn't stand mo. A baboon transplant sounds like something from fiction, but a doctor really attempted it. It is an excellent way to analyze various medical issues.